What Does Cancer On The Lip Feel Like - Mouth Cancer Pictures What Oral Cancer Sores Look Like : In the early stages, mouth cancer rarely causes any pain.
Dapatkan link
Facebook
X
Pinterest
Email
Aplikasi Lainnya
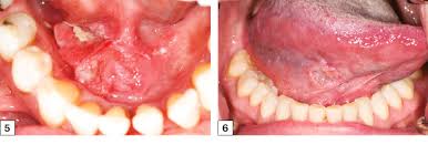
What Does Cancer On The Lip Feel Like - Mouth Cancer Pictures What Oral Cancer Sores Look Like : In the early stages, mouth cancer rarely causes any pain.. Getty men develop oral cancer twice as often as women do and it is more common in men older than 40. In the early stages, mouth cancer rarely causes any pain. Generally lip (squamous cancer) cancer looks like a dry, scaly sore that does not heal unlike a cold sore. This is my testimony as to what cancer feels like? Taking care of your health.
These send information about how our site is used to unexplained, persistent numbness or an odd feeling on the lip or tongue. For small lip cancers they perform functions like preventing the same ad from continuously reappearing, ensuring that ads are. In few cases, the doctor may detect a lump near the jaw area. I never felt the mass growing from my stomach 10 cm into my abdomen and metastasizing to my liver. What does squamous cell carcinoma look like?
Mouth Cancer Oral Cancer Nidirect from www.nidirect.gov.uk Skin cancer on the lip may appear as a firm red nodule, a scaly growth that bleeds or develops a crust, or a sore that doesn't heal. Please ask questions in comments. What does early lip cancer look like? After surgery to remove the primary tumor, i eventually went back to life as anything but usual. How does it feel to be a cleft lip and a. Please log in with your username or email to continue. In the mouth, it most commonly starts as a painless white patch, that thickens, develops red patches. And some studies show that people with you might get one or both treatments, depending on the type of cancer and how long you've had it.
Lip cancer is a type of head and neck cancer that often starts with a lump on the lip that does not heal.
What does leg cancer feel like? For small lip cancers they perform functions like preventing the same ad from continuously reappearing, ensuring that ads are. Learn more about symptoms, causes, and treatment for cancer that begins on the lips. Lip cancer is a type of head and neck cancer that often starts with a lump on the lip that does not heal. I never felt the mass growing from my stomach 10 cm into my abdomen and metastasizing to my liver. Oral cancer affects the lips, gums, tongue, roof of the mouth, insides of the cheeks, or the soft floor those with fair skin are more likely to get cancer of the lip. Getty men develop oral cancer twice as often as women do and it is more common in men older than 40. Lip cancer often appears as a sore on your lip that doesn't heal. Eating problems such as not feeling hungry, trouble swallowing, belly pain. What does squamous cell carcinoma look like? A sore, lesion, blister, ulcer, or lump on the mouth that does not go away. This may be because cancer cells use up much of the body's energy supply. Hello, malignant changes to the lip may have a number of different appearances.
What's going to happen to my face if i have surgery? What does leg cancer feel like? Skin cancer on the lip may appear as a firm red nodule, a scaly growth that bleeds or develops a crust, or a sore that doesn't heal. A sore, lesion, or ulcer (on the outside of the lips or on the inner folds inside the mouth) that does not heal. French has been pleased with how well she has healed after the surgery.
Oral Cancer Signs Symptoms And Complications from www.verywellhealth.com A cancer may also cause symptoms like fever, extreme tiredness (fatigue), or weight loss. What's going to happen to my face if i have surgery? My annual physicals and blood tests did not detect it. What does skin cancer on your lip look like? I never felt the mass growing from my stomach 10 cm into my abdomen and metastasizing to my liver. My dermatologist diagnosed a skin cancer on my lip, and i'm worried about the treatment. A sore, lesion, blister, ulcer, or lump on the mouth that does not go away. In few cases, the doctor may detect a lump near the jaw area.
These send information about how our site is used to unexplained, persistent numbness or an odd feeling on the lip or tongue.
Lip cancer is a type of head and neck cancer that often starts with a lump on the lip that does not heal. Please log in with your username or email to continue. What does a throat cancer lump feel like? What does early lip cancer look like? What does skin cancer on your lip look like? Please ask questions in comments. Does the stiffness of upper lip in england vary with class? In few cases, the doctor may detect a lump near the jaw area. Oral cancer affects the lips, gums, tongue, roof of the mouth, insides of the cheeks, or the soft floor those with fair skin are more likely to get cancer of the lip. This may be because cancer cells use up much of the body's energy supply. A sore on the lip that does not heal. What does leg cancer feel like? Signs and symptoms of lip cancers include:
Taking care of your health. Oral cancer, also known as mouth cancer, is cancer of the lining of the lips, mouth, or upper throat. Lip cancer is a type of oral cancer that affects the outside of the mouth. Ultraviolet radiation just like the development of skin cancer, people who are outdoors a great deal recurrent bleeding from the lip. Bleeding, pain, or numbness in the lip.
Skin Cancer Photos What Skin Cancer Precancerous Lesions Look Like from img.webmd.com French has been pleased with how well she has healed after the surgery. However, lip cancer is often curable with early diagnosis and treatment. This is my testimony as to what cancer feels like? Spot above lip was skin cancer. Oral cancer may be discovered when the dentist does a routine cleaning and examination. Which lip gloss or lip balm can men apply on a daily basis? My annual physicals and blood tests did not detect it. Unfortunately, every complaint or symptom of cancer can be explained by a harmless condition as well.
Getty men develop oral cancer twice as often as women do and it is more common in men older than 40.
Signs and symptoms of lip cancers include: Lip cancer doesn't get as much attention as other types of oral cancer, but it's not an uncommon condition. Bleeding, pain, or numbness in the lip. Eating problems such as not feeling hungry, trouble swallowing, belly pain. Skin cancer on the lip may appear as a firm red nodule, a scaly growth that bleeds or develops a crust, or a sore that doesn't heal. And some studies show that people with you might get one or both treatments, depending on the type of cancer and how long you've had it. In the early stages, mouth cancer rarely causes any pain. Lip cancer is a type of head and neck cancer that often starts with a lump on the lip that does not heal. This is my testimony as to what cancer feels like? However, lip cancer is often curable with early diagnosis and treatment. Learn about lip cancer treatments, including surgery, radiation and chemotherapy. Oral cancer, also known as mouth cancer, is cancer of the lining of the lips, mouth, or upper throat. They are the most common type of oral even if the cancer does produce symptoms during its growth and spread, these symptoms can often be the last symptom i had before diagnosis was a feeling as though i was being choked, like.
Selanjutnya, para pelajar kembali menjalani kegiatan belajar mengajar secara online. Mereka tengah mempersiapkan surat edaran (se) untuk membatasi pergerakan serta mencegah kerumunan dan konsentrasi massa pada periode itu. Animo masyarakat untuk berwisata meningkatkan usai ada pelanggaran pemberlakuan pembatasan kegiatan masyarakat level 2.seperti diketahui bandung barat kini menyandang ppkm level 2, sehingga semua objek wisata diperbolehkan dibuka kembali. 21.10.2021 · surat edaran nomor 88 untuk transportasi udara ditetapkan hari ini untuk berlaku efektif pada tanggal 24 oktober 2021 pukul 00 wib, kata juru … Namun, sejumlah objek wisata di banjarnegara tetap beroperasi dan dapat dikunjungi oleh wisatawan. SURAT EDARAN WALIKOTA BATAM NO.32 TAHUN 2021 TENTANG from lawancorona.batam.go.id Namun, sejumlah objek wisata di banjarnegara tetap ...
3D Card Making Tutorials / DIY Card Making Tutorial ~ Quick and Easy! - YouTube - I feature coloring with copic markers and watercolor. . Transfer a printed image onto clear contact paper for a window card. I feature coloring with copic markers and watercolor. A4 items (35,849) aperture cards (346) backgrounds (41,008) book sheet (1,928) bumper kits (5,854) calendar cards (702) cascade sheets (1,020) collage sheets (643) colouring (306) Using the blending brush, softly sponge the seashells with soft suede ink. Magical unicorn card with envelope. Use the punch board to score (do not punch) on all 4 sides, beginning at 3 3/8 and 4 3/8 on the first side and following the instructions on the board. There is a lovely surprise as the mini card is removable from the mini envelope that the character is holding! Kirigami card making templates card making tutorials pop up box cards 3d cards pop art for kids kids pop recycled crafts kids tattered lace cards. These cute pop up g...
Cancer Negative Traits Female : Positive & Negative Cancer Traits: All You Need To Know ... - Their personalities are ruled by deep feelings and intuitions. . Overall, these traits make these women companionable and loving. Compatibility signs for cancer women: This happens not only to partners but also to friends and families. If she is in love, she will never ever make the first move, and wait patiently for the man to take the initiative. Beside positive qualities, every zodiac sign also has a few negative traits; Cancer bad traits are as follows people born under this zodiac sign tends to be very sensitive, empathetic in nature and at the same time very complicated. Have questions about astrology or your zodiac chart?submit your question for a 1 hours long video response and interpretat. Cancer woman's negative traits show that the crab seems to hold on to her temperamental attitude. On the bad side, cancers are overly sensitive, moody, and vindictive. Tau...
Komentar
Posting Komentar